WELTKONGRESS DER GANZHEITSMEDIZIN

9.-11. OKTOBER 2015

Organisiert von Institut für Ganzheitsmedizin e.V. in der Technischen Universität München mit Vorträgen, Workshops, Praxis-Seminaren, Demonstrationen, Ausstellung und Open Healer Forum mit Heilern, Schamanen, Therapeuten & Wissenschaftlern aus aller Welt.

Ethnotherapien zur Ganzheitsmedizin - Willkommen beim Institut für Ganzheitsmedizin e.V. in den Räumlichkeiten der Medizinischen Fakultät der Universität München.
+49(0)89/740 61 962 +49(0)89/490 53 045
Melusinenstr. 2 München Bayern 81671
Weltkongress der Ganzheitsmedizin vom 09.-11. Oktober 2015. Organisiert von mit Vorträgen, Workshops, Praxis-Seminare und Ausstellung.
Institut für Ganzheitsmedizin e.V.
Institut für Ganzheitsmedizin e.V. - Weltkongress der Ganzheitsmedizin vom 09.-11. Oktober 2015 4.8 based on 24 reviews

Workshop- und Vortrags-Programm

WELTKONGRESS DER GANZHEITSMEDIZIN

in der Technischen Universität, Arcisstr. 21, München. Link: Hier der Programm-Plan Heiler, Schamanen und Medizinleute aus aller Welt bringen Ihr Heilwissen mit zum Kongress um in einen fruchtbaren Austausch zu treten. Alte Kulturen und Völker bieten einen reichhaltigen Schatz und schöpfen aus jahrtausendealte Erfahrungen. Ethnologen, Mediziner & Wissenschaftler begleiten das Programm. Der Weltkongress der Ganzheitsmedizin schlägt den Bogen von den traditionellen Heilverfahren zur heutigen Ganzheitsmedizin. Der Kongress lädt Fachleute ein und steht ebenso für alle Interessenten offen. Alle Vorträge & Workshops werden ins deutsche übersetzt.

Louisiana Voodoo Hoodoo

Verschiedene spirituelle Traditionen, die auf den magisch-religiösen Vorstellungen der aus Westafrika verschleppten Sklaven beruhen. Sie haben unter dem Einfluss der französischen und spanischen Kolonialherren Formen angenommen, indem Elemente der europäischen Volksmagie, der katholischen Heiligenverehrung und des indianischen Kräuterwissens einbezogen wurden. Louisiana Voodoo ist nicht zu verwechseln mit dem haitianischen Vodou oder der Hoodoo genannten Volksmagie des amerikanischen Südens. Diese basiert auf der angelsächsischen Volksmagie, die sich mit der Anglisierung Louisianas jedoch immer mehr mit dem Louisiana Voodoo vermischt. Die neuen Formen & Praktiken werden als Louisiana Voodoo Hoodoo bezeichnet. Er wird praktiziert um Schutz und Segen zu erlangen, durch die Vermittlung von Spirits Heilung zu bewirken oder um die Seele eines Menschen wieder ins Gleichgewicht zu bringen. Priestess Miriam Williams, USA & Kurt Lussi, Kurator, Luzern

AYNI: IM FLUSS DES LEBENS

(Morgenzeremonie) Der Qechua-Ausdruck AYNI beschreibt das einzige Gebot der Inka-Tradition, das so viel wie „Gegenseitigkeit“ bedeutet. Es ist ein kosmisches Gesetz, das sowohl Teil des täglichen Lebens, als auch Teil einer übernatürlichen Ordnung ist. AYNI beschreibt, wie Menschen die lebendige Energie von Wiraqocha (Vater Kosmos) und Pachamama (Mutter Erde) in Harmonie fließen lassen können, damit jeder mit dem versorgt wird, was er braucht. Don Lorenzo ermöglicht den Teilnehmern einen Kontakt mit der Inka-Tradition. Er schafft im Stile der Anden einen heiligen Raum, indem er Apus und Ñustas ruft, die Spirits der Berge seiner Heimat. Den Abschluss des Rituals bildet ein despacho, eine Art „Gebet der Anden“, in die alle Teilnehmer helfen, die Energie des Universums in Harmonie fließen zu lassen. Don Lorenzo Apazo, Q’ero-Heiler aus den Hochanden Perus

Der Weg des Bewusstseins: Heilung ist Lehre und Lehre ist Heilung

Der Weg der Heilung ist in der Weltanschauung unserer Vorfahren ein Prozess, welcher das Wissen um sich selbst als Individuum einbezieht. Durch dieses Wissen bekommen wir Zugang zum universellen Gedächtnis. Das Gedächtnis im schamanischen Wissen ist eine lebendige Intelligenz, welche die höchste Weisheit des Bewusstseins besitzt. Darum ist bekannt, das jeder Schamane gemäß spirituellem Gesetz sich selbst heilen muss, bevor er andere Individuen heilen kann. Der Heilungsprozess wird gleichzeitig zu einem Lernprozess und jeder Lernprozess wird eine Heilung. Dabei erkennt der innere Heiler des Schamanen im Patienten dessen eigenen inneren Heiler wieder und erkennt genauso einen Lehrling, den er anweisen muss. Gleichzeitig erkennt der Patient im Schamanen einen Heiler, Meister und einen geheilten Patienten. Sie werden zu einem untrennbaren Binom, welches das Gedächtnis der Gesundheit wecken kann. (WS) Solar Yerpun, Schamane aus Ecuador

In Europa traditionell praktizierte Ausleitverfahren

Anhand von prähistorischen Körperfunden lässt sich ableiten, dass Reflexzonenbehandlungen und Kräuteranwendungen schon vor Jahrtausenden in Europa angewandt wurden. Die Kunst, aus Körperflüssigkeiten den Gesundheitszustand oder Störungen von Körperfunktionen zu diagnostizieren, ist ebenso uralt. Noch bis heute stellen in der westlichen Medizin die Beurteilung der Hautbeschaffenheit, der Zunge und des Urins einen wichtigen Bestandteil der Diagnosefindung dar. Die Kunst, das Blut ohne technische Hilfemittel zu beurteilen, wird leider nur mehr selten praktiziert. Dabei gibt das Blut eine gute Möglichkeit, den Zustand der inneren Körperfunktionen zu beurteilen. Blut, Urin, Schweiß, Speichel etc. bestehen zu einem Großteil aus Wasser und darin gelösten Substanzen. Der Wasserhaushalt des Körpers spielt für die Gesundwerdung und Gesunderhaltung des Tempels der Seele eine wichtige Rolle. Dr. med. univ. Petra Zizenbacher, Naturheilzentrum Wien

Medizin des Waldes - Visionen der Neuen Zeit

Hier werden wir über die Lebensweise der Huni Kuin erzählt bekommen und über die Visionen der Neuen Zeit erfahren. Die neue Zeit als direkte Verbindung des Guten unserer Kulturen. Wie ist ein guter Austausch möglich? Wir hören von alternativen Projekten des Stammes sowie von der ganzheitlichen Heilung durch die Medizin des Waldes. Txana Bane über sein Volk Huni Kuin im Staat Acre Brasilien

Ganzheitliche Strategien in der Krebstherapie

In diesem Workshop erfahren Sie, wie eine Antikrebsernährung praktisch umzusetzen ist. Wir räumen auf mit Ernährungsmythen, Vermitteln Tipps und Rezepte anhand von Patientenbeispielen zeigen wir das Monitoring zur Verlaufsbeobachtung einer Krebserkrankung mit dem TKTL-Test und zirkulierenden Krebszellen. Außerdem erklären wir die praktische Anwendung verschiedener ganzheitlicher Strategien und Krebstherapien. Es ist genügend Zeit für Fragen und Gelegenheit zum persönlichen Erfahrungsaustausch. Dr. med. Brigitte Karner, Zentrum für Ganzheitsmedizin Freiburg

Archäophyten: Kulturgeschichte und Volksmedizin

Unter Archäophyten versteht man die Ackerbegleitkräuter, welche von den ersten Bauern, den Bandkeramikern, vor rund 7000 Jahren unbeabsichtigt ins mittlere Europa mit eingeschleppt wurden. Es handelt sich um Flora, die einst unsere Kornfelder bunt und ansehnlich machte, wie die Kornblume, Klatschmohn oder Kornrade, oder um wertvolle Heilpflanzen wie die Kamille oder das Leinkraut. Alle haben tiefe mythologische und symbolische Bezüge, die kulturwissenschaftlich aufschlussreich sind. Dr. Wolf Dieter Storl, Ethnobotaniker, Allgäu

Heilgesänge aus dem Amazonas – Der Ursprung, die Kraft und Wirkung der Lieder der Pflanzen

Die Gesänge wurden und werden durch den direkten Kontakt mit der Natur und den Naturgeistern vermittelt. Die Pflanzen enthüllen ihr Wissen und ihre Kraft durch Gesänge, die im amazonischen Schamanismus Ikaros genannt werden. Durch diese Gesänge ruft der Schamane die Kräfte der Geister und kann sie so lenken und anwenden. Wir erleben in diesem Workshop die Kraft dieser Lieder für unsere eigene Heilung und erfahren über die Hintergründe, Kräfte, Auswirkung und Anwendung dieser heiligen Gesänge. Solar Yerpun, Schamane aus Ecuador, circulo sagrado LAWEN PIUKE TAYEL

Die Ganzheitlichkeit der lettischen Heiltradition

Der Mensch wird immer wie ein Teil der Natur gesehen wie ein Kind der Mutter Erde. Mutter Erde oder eine von über 80 verschiedenen Mütter-Naturgottheiten wird zu Hilfe gerufen. In der Lettischen Mythologie gibt es viele Naturgottheiten - ähnlich wie in der Nordischen oder Germanischen Mythologie. Die Letten sind mit diesen Gottheiten in Verbindung, weil sie sehr spät christianisiert wurden. Der alte lettische Glaube hat Geister, Krafttiere usw. Die Mütter bei uns sind weibliche Gottheiten, weil jede Pflanzenart, jede Tierart und verschiedene Aspekte in der Natur Mütter haben (wie Devas in Indien), sie sind noch in unseren Volksliedern, Märchen und Bräuchen. Wir haben Mutter Erde, aber auch Mutter des Feuers, Mutter des Wassers, des Meeres und Mutter des Windes, auch Mutter des Schicksals, Mutter des Waldes, Mutter der Pilze, Mutter der Bienen, Mutter des Weges usw. Ieva Ancevska, Dampfbad-Meisterin, Ethnologin, Universität Lettland

Archäophyten: Kulturgeschichte und Volksmedizin

Unter Archäophyten versteht man die Ackerbegleitkräuter, welche von den ersten Bauern, den Bandkeramikern, vor rund 7000 Jahren unbeabsichtigt ins mittlere Europa mit eingeschleppt wurden. Es handelt sich um Flora, die einst unsere Kornfelder bunt und ansehnlich machte, wie die Kornblume, Klatschmohn oder Kornrade, oder um wertvolle Heilpflanzen wie die Kamille oder das Leinkraut. Alle haben tiefe mythologische und symbolische Bezüge, die kulturwissenschaftlich aufschlussreich sind. Dr. Wolf Dieter Storl, Ethnobotaniker, Allgäu

Das Autonome Nervensystem: Geheimnisse des Bindeglieds zwischen Körper, Seele & Heilung

Das Autonome (unbewusste) Nervensystem ist der Koppler zwischen Soma und Psyche. Jedes Leiden, jede Befindlichkeitsstörung drückt sich über dieses vegetative Nervensystem aus.Die Kenntnisse über diese Zusammenhänge von Gefühlen, Körperarealen, Organen, Projektionszonen und Gehirn befähigen den Therapeuten nach gezielter Anamnese durch die Wahrnehmung des maßgeblichen Leidenskörperliche oder mentale Hilfestellung zu geben oder die Heilung einzuleiten im Sinne von der Krankheit als Weg. Dr. med. Ulrike Aldag, Fachärztin für Chirurgie, Naturheilverfahren & Homöopathie, Institut für Neuraltherapie, Berlin

SCHAMANISMUS IN KASACHSTAN

Saira Serikbajewa arbeitet seit 30 Jahren als Schamanin. Die Kasachen sind ein Volk der Nomaden, das ihre Heilverfahren aus der Natur entwickelt hat und durch die medizinische Erfahrung der Völker Zentralasiens, Chinas, Indiens und des arabischen Orients ergänzte. Die Therapie, die Saira und Maria zeigen, ist die Wachstherapie. Diese kann jeder anwenden; verstehen können sie jedoch nur die "Feuer-, Wasser-, Luft- und Erdmagier". Jedes Problem kann gelöst, Betrug ans Licht gebracht werden, Magie, Hexerei und böser Blick verlieren ihre Macht. Sie heilt den Patienten auf der physischen, emotionalen, mentalen und geistigen Ebene. Die Wachstherapie kann niemandem schaden, sie kann nur helfen. Die Biene findet in der Blume nur den Nektar, die Spinne nur das Gift. Die Biene übergeht das Böse, trennt das Gute vom Bösen, unterscheidet die Wahrheit von der Unwahrheit. Saira Serikbajewa, Schamanin, Kasachstan & Maria Gavrilenko, Professorin für Sprachen.

HEILWEISEN DER INKAS

Den Q’ero-Indianern zufolge hängen physische und psychische Gesundheit wesentlich davon ab, inwieweit Menschen eine wechselseitige Verbindung mit dem großen Ganzen aufbauen können, das es ihnen ermöglicht, ein harmonisches Verhältnis zu sich und ihrer Umwelt zu erhalten und letztlich schwere Energie in leichte zu transformieren. Sie sind die Nachfahren der Inkas und gelten als die wahren „Meister der lebendigen Energie“. Hans-Martin Beck schildert die Eckpfeiler dieser Weisheitslehre: Kausay Pacha, die Welt der lebendigen Energie und Kausay Puriy, die Fähigkeit, sich darin zu bewegen. Was ist lebendige Energie und welche Zustände kann diese haben. Die Prophezeiung der Inkas und ihre Auswirkungen auf unser Leben. Hans-Martin Beck, Inka-World, Leimen

Das lettische Dampfbad oder Schwitzbad

Ein wichtiger Heilungsort im Lettland, bekannt durch die reiche Verwendung von Heilkräutern. Schwitzen reinigt den Körper, mit der Hilfe des Dampfes kann der Mensch sich entspannen & die Stimme der eigenen Seele hören. Die Kontrastprozeduren sind hier wichtig, weil man nach jedem wiederholten Erhitzen in einen kalten Teich oder See springt, um sich abzukühlen. So werden die unnötigen körperlichen & energetischen Schlacken weggespült. Die Kontrastprozeduren sind auch gegen Depression & Stress. Besonders gut helfen die Dampf-, Heilkräuter- und Kontrastprozeduren nicht nur gegen verschiedene Krankheiten, aber auch für die Kräftigung der Gesundheit. In diesem Workshop werde ich über die Lettische Tradition, auch über meine eigene Arbeit und Erfahrung im Dampfbad erzählen. Ich werde praktische Tipps geben, die auch in der Sauna anwendbar sind - wie man sich selbst energetisch reinigen & stärken kann. Ieva Ancevska, Dampfbad-Meisterin, Ethnologin, Universität Lettland

Traditionelle Heilmethoden des Sufismus im Lichte moderner Konzepte des Embodiment

Krankheit und Gesundheit sind keine absoluten Größen. Heilung hat immer auch mit den Vorstellungen der Menschen von Krankheit und Gesundheit zu tun. Zur Zeit wird Forschung im Gesundheitswesen auf der Grundlage naturwissenschaftlicher Denkmodelle und Forschungsmethoden vorangetrieben. Die Erkenntnisse der Kultur- und Sozialanthropologie, die sich mit Fragen des menschlichen Leidens, Gesundseins und Heilens beschäftigt, wird bislang kaum in diesen Diskurs einbezogen. In diesem Beitrag wird ein Brückenschlag zwischen traditionellen sufischen Heilmethoden und westlichen Konzepten des „Embodiment“ versucht. Grundlage hierfür ist ein Verständnis, das den Körper nicht nur als naturwissenschaftlich beschreibbaren „kulturlosen“ Ort begreift, sondern als jene Entität, in der Bedeutungen und Zuschreibungen erst geschaffen werden. FH-Prof. Priv. Doz. Mag. Dr. Gerhard Tucek, Department Health, IMC Fachhochschule Krems

Heilpflanzen, Meisterpflanzen & Mutterpflanzen

Während des Entwicklungsprozesses unserer Existenz nahmen Pflanzen eine Schlüsselrolle ein. Pflanzen können wir als verlorenes Glied in der Entwicklungskette der Spezien bezeichnen. In der Weltsnschauung der Vorfahren besitzt jede Pflanze einen Schutz- oder Muttergeist und jede Mutter besitzt eine spirituelle Welt. In diese Welt kann man durch einen Reinigungs- und Transformationsprozess eintreten. Jeder angehende Schamane muss sich dem unterwerfen um so mit der Ahnenkraft der Pflanzenwelt in Kontakt zu treten und seine Wahrnehmung zu erweitern. Während dieses Prozesses sind die Träume essentiell für die Kommunikation zwischen den verschiedenen spirituellen Welten der Natur. In der nativen Medizin und besonders in der amazonischen, existieren Heilpflanzen, Pflanzen zum lieben, Pflanzen zum töten oder verhexen, Pflanzen mit psychosomatischen Funktionen, Meisterpflanzen und Mutterpflanzen mit Verbindung zum Bewusstsein. Yerpun Solar, Schamane aus Ecuador

Die Dualität der Macht und Kraft

Wenn wir uns in das schamanische Wissen begeben, müssen wir unsere falschen und einschränkenden Abmachungen reinigen. Schamane sein bedeutet, sich in einen Weisen zu verwandeln und weise sein ist nicht gut oder schlecht sein, sondern einfach weise. Jede Kraft ist die Harmonisierung der Gegensätze. Die Gegensätze benötigen sich gegenseitig. Im schamanischen Wissen existiert eine spezifische Klassifikation dafür wie diese Macht genutzt wird: Heiler / curanderos oder weiße Magier, welche die Macht haben zu heilen und leben schenken zu können innerhalb der Natur, und Böse / maleros oder schwarze Magier, welche die Macht haben erkranken zu lassen oder zu töten. Jeder Schamane in Ausbildung durchläuft während des Initiationsprozesses eine Reihe von Prüfungen um den Geist zu stärken, so dass er nach einigen Jahre Lehre entscheiden kann, welchen Weg er wählen will, was die Konsequenzen für den Rest seines Lebens festlegt. (WS) Yerpun Solar, Schamane aus Ecuador

Schmerzfreier Rücken – Das fasziale Rückenkonzept

Sie haben Rückenschmerzen und suchen nach Wegen in die Schmerzfreiheit? Es gibt neue Erkenntnisse aus der Faszienforschung und der Schmerztherapie. Danach haben die meisten Schmerzen im Rücken mit Muskelverkürzungen und Verklebungen der Faszien zu tun. Wie kann eine Behandlung aussehen, welche an den Ursachen der Schmerzen ansetzt? Wie kann ein Selbsthilfeprogramm aussehen, mit dem sich die Schmerzbetroffenen effektiv helfen können? Ohne Medikamente, ohne Operation, natürlich und nebenwirkungsfrei? Mit einer manuellen Behandlungstechnik kommt es zu einer Neuprogrammierung der Muskulatur, so dass sich ein muskeldynamisches Gleichgewicht einstellt. Mit Hilfe von Dehnkräftigungsübungen lernt der Schmerzbetroffene den Weg aus dem Schmerzgeschehen zu steuern. Diese Methode ist auch wirksam bei chronischen Schmerzzuständen wie Migräne, Hüft- & Kniearthrose, Fibromyalgie, Karpaltunnelsyndrom oder Schulterschmerzen. B. Kälin, HP des Schmerzzentrum Freiburg

Die Tradition Huni Kuin und die neue Zeit

Die Vision der Huni Kuin mit der neuen Zeit ist ein spirituelles und materielles Miteinander Sein. Jede Kultur hat seine Schönheit und diese gilt es zu verbinden. Mithilfe der Heilungslieder in der Waldsprache HATXA KUIN und traditioneller Tänze bekommen die Teilnehmer einen Einblick in die Kultur und können die Wichtigkeit der Verbindung näher verstehen. Amazonasmedizin, Heilungslieder, Tänze, Bemalung, Gemeinschaft, Natur, Einfachheit, Freude, bodenständige Spiritualität. Fabiano Txana Bane Maia Sales aus Acre, Brasilien in Kooperation mit Living Gaia e.V.

Satsang-Meditation zur Öffnung des dritten Auges

"Ich glaube, dass alle bewussten Menschen zusammen dazu beitragen können eine Brücke zu bauen." Ob Sie sich für die Transformation Ihrer eigenen Gesundheit interessieren oder etwas vom neuesten Stand der Geist-Körper-Medizin lernen wollen um Ihren Patienten zu helfen, mit Satsang-Meditation zur Öffnung des Dritten Auges wird Ihnen Tony Samara helfen, die Kraft zu entwickeln Ihre tiefsten Absichten und Ziele zu entfalten und zu leben - in jedem Alter. Sie werden praktische Hilfsmittel und Verständnis gewinnen, um die bewusste Entscheidungen zu treffen Heilung zu erlangen. Tony Samara, Autor von „Shamans Wisdom“ U.S.A

Integrative Medizin und spezielle Aspekte der Mind/-Body-Medicine

Unser modernes Medizinsystem ist gekennzeichnet durch eine hohe Spezialisierung einerseits und eine enorme Fragmentierung andererseits. Die Errungenschaften auf akutmedizinischem Gebiet sind äußerst effektiv. Dem gegenüber steht eine ständige Zunahme v.a. chronischer Erkrankungen, bei denen ein symptomorientiertes Vorgehen keine echten Heilungschancen ermöglicht. Konventionelle Diagnostik- und Therapieverfahren stehen der Komplementärmedizin unvereinbar gegenüber. Ansätze im Bereich der „integrativen Medizin“ wollen die künstliche Trennung in einzelne Disziplinen überwinden. Es geht darum, die gleichzeitig bestehenden physiologisch-körperlichen, psychisch-emotionalen sowie die geistig-spirituellen Aspekte des Menschen zu würdigen und zu berücksichtigen. Dr.med. Banzhaff, FA für Allgemeinmedizin, Umweltmedizin, Sozialmedizin, Notfallmedizin, Manuelle Therapie, Naturheilverfahren, Akupunktur.

Workshop mit Amazonasmedizin

Eine traditionelle Medizin, die Reinigung und Ausgleich für Körper, Geist und Seele bringt uns tiefer mit der Natur in und um uns herum verbindet. Txana Bane begleitet das Ritual mit traditionellem Heilungsgesang. Fabiano Txana Bane Maia Sales & Kathy Makuani Lewin, Living Gaia e. V. in Kooperation mit den Huni Kuin aus Acre, Brasilien

Zurück in der Menschheit

Überall auf der Welt sind die Prophezeiungen aus unterschiedlichen Kulturen eingetroffen. Die Beschleunigung der Zeit in unserem Leben und die heimtückische Kraft der Zivilisierung trägt zum Vergessen des Grundwissens der Menschheit bei. Unser Überleben und das unserer Nachfahren wird davon abhängen uns wieder zu erinnern wie und was es bedeutet, ein Mensch auf der Erde, unserer Mutter zu sein und das indigene Wissen wieder zu erlernen und weiterzugeben. Aufbauend auf indigene Weisheit und Praktiken, erforschen wir, erinnern uns und kultivieren das Wesen dessen, wer wir sind, warum wir hier sind und bauen unser Vermächtnis für die künftigen Generationen auf. Einer traditionellen Zeremonie zu Ehren des nahenden Neumondes wird während des Workshops abgehalten werden. Zum Kongress feiern wir eine traditionelle Zeremonie „zu Ehren des nahenden Neumonds“. M.L.A, E.M.T. Phillip Scott Ancestral Voice - Center for Indigenous Lifeways, Chief Tsunka Wakan Sapa

Workshop Heilige Lieder

Die heiligen Lieder gelten als Sprache der puren Natur, sie stehen in direkter Verbindung. In Zeremonien werden sie gesungen, auch im alltäglichen, denn sie bringen Ruhe, tiefe Verbindung und den Fluss im Leben. Hier haben wir die Möglichkeit eines der heiligen Lieder zu erlernen. Fabiano Txana Bane Maia Sales & Kathy Makuani Lewin, Living Gaia e. V. in Kooperation mit den Huni Kuin aus Acre, Brasilien

Don Lorenzo, ein Q’ero-Heiler aus den Hochanden Perus

zeigt den Teilnehmern mit Hilfe eines DESPACHOS, wie sie die Energie des Universums in Harmonie fließen lassen können. Für diese typische Heil- und Dankeszeremonie wird er zunächst einen heiligen Raum schaffen und anschließend die Spirits der Berge seiner Heimat und die von Europa rufen. Die Teilnehmer bittet er, all ihre Liebe und Kraft einfließen zu lassen, denn wenn sie etwas von Herzen geben, bekommen sie vom Leben etwas von Herzen zurück. Während des Rituals wird Don Lorenzo viele kleine typische „Gebete der Anden“ sprechen, in die alle Teilnehmer mit ihrer Energie eingebunden werden. Somit wird diese Zeremonie ein Geschenk, ein Zurückgeben für all das, was wir täglich erhalten, und es erinnert die Teilnehmer an ihre Verbindungen mit allen Wesen, Elementen und heiligen Plätzen.

Workshop traditioneller Tanz

Die traditionellen Tänze werden besonders zu der Zeit des Erntefestes getanzt oder in traditionellen Zeremonien. In Verbindung mit Gesang kann man hier die Energien der Erde und der Gemeinschaft erfahren. Fabiano Txana Bane Maia Sales & Kathy Makuani Lewin, Living Gaia e. V. in Kooperation mit den Huni Kuin aus Acre, Brasilien

Männerzeit: Visionssuche - Lebensphasen feiern - Lebenskrisen würdigen - Initiation wagen - Veränderung ins Leben tragen!

Die Visionssuche knackt den emotionalen Panzer des Mannes durch Fasten, Einsamkeit & Länge. Vier Tage und Nächte alleine in der Wildnis öffnen Zugänge zur eigenen Seele. Die Quester bekommen Wegweisung für ihre Lebensthemen, für die Fragen & Probleme. Die Visionssuche initiiert Männer in ihr Mann-Sein. Ein Zuwachs von Selbstwertgefühl, geschlechtlicher Identität, innerer Stärke oder neu erwachte Tatkraft ist die natürliche Folge. Unsere Methodik fußt auf den Lehren der School of Lost Borders und von Bill Plotkin, den überlieferten Traditionen (von hanbleceya bis utiseta) sowie eigenen Erfahrungen einer mehr als 20jährigen rituellen Tätigkeit. Im Workshop erklären wir das Ritual und unsere Arbeitsweise, teilen unsere Erfahrungen, zeigen beeindruckende Bilder und stehen für Fragen zur Verfügung. Stefan Ulbrich & Gerhard Popfinger http://maennerzeit.blogspot.de/p/mentoren.html

Medizin des Waldes - Medicinas da Floresta: Amazonasmedizin, traditionelle Heilungslieder und Tänze

Die Vision der Huni Kuin aus dem Amazonas in Brasilien in der neuen Zeit ist ein spirituelles und materielles Miteinander rund um den Erdball. Die Medizin des Amazonas ist reich und wirkt in einer Kombination aus Medizinpflanzen, traditionellen Tänzen, Gesang und Heilungslieder in der Waldsprache HATXA KUIN. Eine rituelle Zutat ist eine Medizin aus reinem, von der Sonne geröstetem Tabak, gemahlen und gemischt mit der Asche eines Medizinbaumes. Sie wirkt reinigend, bringt mehr Konzentration und führt Stück für Stück näher zur Natur - in uns und um uns herum. So bekommen die Teilnehmer einen Einblick in die Heilungsweisen der Kultur und können die Wichtigkeit unserer Verbindung näher verstehen. Fabiano Txana Bane Maia Sales & Kathy Makuani Lewin, Living Gaia e. V. in Kooperation mit den Huni Kuin aus Acre, Brasilien

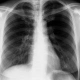
Der schamanische Röntgenblick

Jede Krankheit basiert auf Ursachen, die im Feinstofflichen zu suchen sind oder spirituelle Auslöser haben. Fast alle Heiltraditionen ursprünglicher Völker kennen Trancezustände um Krankheitsursachen zu erkennen. Der Heiler oder Schamane stellt dabei eine besondere Verbindung zum Kranken her und kann damit hellsichtig den Auslöser oder den Anlass der Erkrankung finden und Impulse zur Heilung geben. Noch einen Schritt weiter geht der schamanische Röntgenblick. Dabei geht das Medium in einem veränderten Bewusstseinszustand mit einem speziell geschulten Blick durch alle Ebenen des Körpers und sieht dabei den Zustand der Organe und Körperregionen. Es zeigt sich dabei auch die ganz konkrete physische Beschaffenheit. Eine feinere Wahrnehmung ist bereits bei vielen Menschen vorhanden und kann geschult und geübt werden. Im Workshop führt Maria-Elisabeth in das Thema und ihre Arbeitsweise ein. Maria Elisabeth, Medium, TSI Transmediales Seher Institut, München

Okuirede Medizin der Huitotos Kolumbiens

Okuirede Medizin bedeutet in der Sprache der Huitoto ganz präsent und wachsam zu sein. Die Uitoto (spanisch Huitoto) sind ein indigenes Volk im Süd-Osten Kolumbiens. Sie bauen auf ein uraltes und gleichzeitig visionär revolutionäres Medizinmodell, das auf einer Philosophie der Wahrnehmung des Moments beruht. Von der Okuirede Medizin der Huitotos können wir lernen uns von der Vorstellung der isolierten Körperbetrachtung, der psychologischen Analyse oder von theologischen Interpretationen zu lösen – sie ist eine physische und spirituelle Befreiung mit Hilfe des pharmakologischen Speichers, der in der menschlichen Natur innewohnt. Dr. Ramirez weiht Sie in die Mysterien des Huitoto-Heilwissens ein, ein Wissen, das eingebettet ist in die Natur, das Leben und die Kraft des Amazonas-Regenwaldes in Kolumbien und bis heute ungebrochen lebt und in den traditionellen Stämmen praktiziert wird. Dr.med. Fabio Alberto Ramirez

Workshop Geschichtenerzählung

Die Huni Kuin haben viele Geschichten, zum Beispiel die des Mondes oder wie es dazu kommt, das wir Kleidung haben… in diesem Workshop dürfen wir einer Geschichte aus dem Volk der Huni Kuin lauschen. Fabiano Txana Bane Maia Sales & Kathy Makuani Lewin, Living Gaia e. V. in Kooperation mit den Huni Kuin aus Acre, Brasilien

Der Weg der Integration der uralten Weisheit

Es gibt nichts, absolut nichts, dass abgekoppelt ist. Alles ist einer tiefen und engen Beziehung zueinander. Die alte Weisheit ist ein Wissen, welches uns allen gehört und welches der Schlüssel war, ist und sein wird, welcher uns zur Freiheit bringt. Der Weg der Weisheit unserer Vorfahren oder Weg des Bewusstseins zeigt uns eine Vision der Lehre, welche gleichzeitig eine Heilung ist. Die Gesundheit ist das subtile Gleichgewicht, welches zwischen den verschiedenen Ebenen und Welten des Bewusstseins existiert. Nicht nur aus diesem Leben, wie wir es kennen, sondern wir tragen gleichzeitig das Gesundheitspotential unserer Clans (Familiensysteme). Wir erben nicht nur physische Aspekte, sondern auch Psycho-spirituelle Strukturen. Um zu verstehen und uns weiterzuentwickeln. Nichts ist gegen uns, alles ist Teil eines perfekten Designs, wo sogar der kleinste, scheinbare Fehler eine absolute Perfektion ist. (Vortrag Fr.) Yerpun Solar, Schamane aus Ecuador

Die alte lettische Heilkunde

wurde über Generationen mündlich und praktisch überliefert. Nur im 19. Jahrhundert wurden die Traditionen teilweise gesammelt und aufgeschrieben, aber man glaubt noch heute, dass die stärkste die direkt überlieferten Bräuche, Beschwörungen und Zaubersprüche sind. Diese werden gegen verschiedene Krankheiten angewendet - oft zusammen mit Kräutern. Ich benutze auch einige Zaubersprüche in meiner Arbeit. Das sind Wörter, die unsere alten Götter um Hilfe anrufen oder heilende, magische Formeln. In meiner Arbeit benutze ich meistens diese Wörter als Lieder. Unsere alten Volkslieder sind gute Affirmationen mit heilender Wirkung. Ich singe sie selbst oder zusammen mit dem Mensch. Wir haben auch viele praktische Beschwörungen zB gegen Schlangen, so dass, wenn man in den Wald geht, dort auf keine Schlangen trifft. Man hat Volkslieder als Gebete um sich einen guten Tag, gute Leistungen oder Gesundheit zu sichern. Ieva Ancevska, Dampfbad-Meisterin, Ethnologin, Universität Lettland

Die Mistel - eine Heilpflanze für die Krankheiten unserer Zeit - Ihre geomantische Bedeutung und ihre Anwendung als Zauberpflanze sowie als Heilmittel in Volksmedizin und Naturheilpraxis

Kaum eine andere Pflanze wurde von unseren Vorfahren mehr verehrt als die Mistel. Weil sie nicht in der Erde wurzelt, galt sie als Geschenk der Himmelsgötter. Rituell gesammelt, gebrauchte man sie in kultischen Handlungen, als Schutzzauber und als Universalheilmittel, heute noch besonders bei Schwächezuständen, Herzkrankheiten, Unfruchtbarkeit und Nervenleiden. Auf Rudolf Steiner geht die Empfehlung zurück, die Mistel bei Karzinom einzusetzen, besonders zur Prophylaxe. Er beachtete vor allem die Signaturbeziehungen zum Krankheitsgeschehen. Zahlreiche Untersuchungen konnten seine Ideen inzwischen belegen. Auch beim Erschöpfungssyndrom sollte man an diese alte Zauberpflanze denken, die eben zu Recht ein Universalheilmittel für die Krankheiten unserer Zeit darstellt. Olaf Rippe, NATURA NATURANS

Heilung und innerer Frieden durch achtsame und absichtslos-liebevolle Berührung

„Kuschel-Partys“ haben sich rasant ausgebreitet und werden von Menschen aller sozialen- und Altersklassen frequentiert. Warum?Im Haptik-Labor der Leipziger Uni fand man heraus, dass bei dieser Art von achtsamer, nicht zielgerichteter Berührung (wie auch beim Stillen) das „Bindungshormon“ Oxytocin ausgeschüttet wird. Stress wird sofort dezimiert, es macht einfach „satt“, glücklich & friedlich. In indigenen Völkern findet sehr viel mehr Berührung statt, z.B. wenn sich alle zum Schlafen in einem Raum zusammen kuscheln, oder Kleinkinder am Körper der Mutter oder großen Schwester überall hin mitgetragen werden. Babys werden also keinem Allein-sein Stress ausgesetzt & können so ein sicheres Vertrauen in die Welt & sich selbst entwickeln. Mehr Informationen beim Workshop und vor Allem die Gelegenheit, in Berührungs-Übungen die Auswirkung von Oxytocin zu erleben. Dipl.Psych. Ingrid Hack, Realighting Institut www.realighting.de

Film über Traditionelle Heiler in Rajasthan

Gunis sind traditionelle Heiler, die in Nordindien, v.a. in Rajasthan, tätig sind. Sie arbeiten überwiegend mit Heilpflanzen, die sie in eigenen Kräutergärten ziehen oder im Wald sammeln. Das Wissen um traditionelle Heilmethoden wird von Generation zu Generation weitergegeben. Der Film begleitet den Geschäftsführer Jay Shankar, der ein großes Treffen von Gunis aus ganz Rajasthan organisiert. So ist ein Film über eine indische Partnerorganisation, die Rashtryia Guni Mission (RGM) www.gunimission.org entstanden, der die Arbeit dieser NGO beschreibt. RGM unterstützt mit Schulungen, Workshops, Health Camps, eine kleine Klinik & Kräutergärten. TradAid e.V. www.tradaid.org ist eine NGO, die sich für die Integration traditioneller Medizin weltweit einsetzt, um die Autonomie der Bevölkerung zu stärken & das kulturelle Erbe der Vielfalt der therapeutischen Systeme zu erhalten durch Unterstützung vor Ort, Öffentlichkeitsarbeit & Networking. Dorothee Giese, Vorstand